Teeth Straightening
Straighten Teeth Fast with Clear Aligners in Tunbridge Wells
Did you once spend years undergoing painful orthodontic treatment and unsightly braces only to see your teeth slowly slip back to their former wonky ways?
Are you one of many who are generally unhappy with the alignment of your teeth and longing for a beautiful, straight smile?
Clear Aligners provide a constant gentle pressure on the teeth, easing them back into place far more quickly.
Apart from aesthetic benefits, Clear Aligners are easy to use and can be inserted and removed at any time, allowing eating and brushing to continue as normal.
Once teeth have moved to the desired position, a very discreet retainer holds them in place, so they remain in their new position.
Clear Aligner Patient Cases
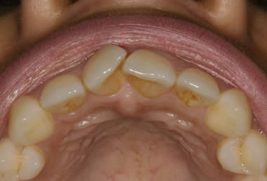
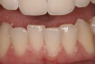
Tooth Straightening Case 1
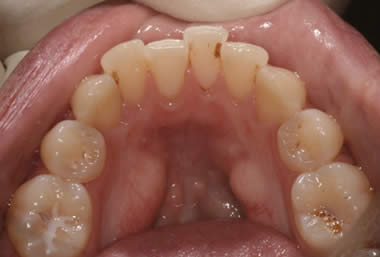
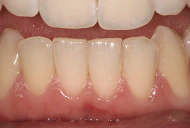
Tooth Straightening Case 2
Tooth Straightening Case 3



